ISSN 1028-9933

Rev Inf Cient. 2017 Nov.-Dic.; 96(6):1120-1128


INFORME DE CASO

 

 

Paracoccidioidomicosis. Presentación de un caso

 

Paracoccidioidomycosis Presentation of a case

 

Yoni Arcides Rodríguez Llanes, Juliane Caroline da Silva Pereira, Yusel Pérez Nobrega

Universidad de Ciencias Médicas. Guantánamo. Cuba


 

RESUMEN

Se presentó un caso clínico de un paciente masculino de 63 años de edad, alcohólico, fumador residente en zona rural de un municipio del interior de Sao Paulo, Brasil, que acude a consulta por dolor en las pantorrillas y tos seca de larga evolución. Después de varias investigaciones clínicas, exámenes de laboratorio, entre otras pruebas se confirmó el diagnóstico de paracoccidioimicosis. Se inició tratamiento con itraconazol y trimetroprin-sulfametoxazol evolucionando con mejoría clínica evidente. Es una entidad patológica endémica en varios países de América y muy rara en Cuba. El conocimiento de su clínica es importante para una orientación diagnóstica oportuna y la implementación de un tratamiento eficaz, pues muchos profesionales prestan servicios sanitarios en países donde la enfermedad se presenta con mayor frecuencia.

Palabras clave: paracoccidioimicosis; paracoccidioides brasiliensis; micosis; hongo dimórfico


 

ABSTRACT

A clinical case of a 63-year-old male, alcoholic, smoker resident in a rural area of a municipality in the interior of Sao Paulo, Brazil, who came for consultation due to calf pain and a long-term dry cough, was presented. After several clinical investigations, laboratory examinations, imaging and histological confirmation of Paracoccidioimicosis was confirmed. Treatment with Itraconazole and Trimetroprin-Sulfamethoxazole is initiated, evolving with evident clinical improvement. It is an endemic disease entity in several countries of America and very rare in Cuba. Paracoccidioidomycosis is a deep mycosis that can present as symptomatic or asymptomatic disease, being caused by a dimorphic fungus and constitutes a health problem of the medical mycology. Knowledge of your clinic is vital for a timely diagnostic orientation and implementation of effective treatment, as many professionals provide health services in countries where the disease occurs most frequently.

Keywords: Paracoccidioimycosis; Paracoccidioides brasiliensis; mycosis; dimorphic fungus


 

INTRODUCCIÓN

La paracoccidioidomicosis es una micosis profunda que puede presentarse como enfermedad sintomática o asintomática. Está causada por el hongo termal dimórfico Paracoccidioidesbrasiliensis y constituye el mayor problema sanitario de la micología médica en América Latina. La infección pulmonar es la manifestación más común, seguido en orden de importancia la afectación de las mucosas, piel, ganglios linfáticos y glándula suprarrenal.1

La infección ocurre en América Latina, desde México hasta Argentina, exceptuándose países como Chile, Guyana Francesa, Surinam, Nicaragua, Belice y varias islas de América Central que no poseen registros de casos autóctonos de la enfermedad. En Brasil, la mayor incidencia ocurre en los estados de Sao Paulo, Río de Janeiro y Minas Gerais.2

Se cree que la incidencia anual en zonas rurales endémicas varíe de 3-4 casos nuevos/1.000.000 de habitantes hasta 1-3 casos nuevos/100.000 habitantes. Es considerada la tercera causa de muerte por enfermedad infecciosa crónica, resultando en una tasa de mortalidad de 1,65 casos/1.000.000 de habitantes. Es más frecuente en hombres y en el grupo etario de 30-50 años e infrecuente en menores de 14 años de edad.3

El gran factor de riesgo para la adquisición de la infección son las profesiones o actividades relacionadas al manejo del suelo contaminado con el hongo. Se observa que la mayoría de los pacientes ejerció actividades agrícolas en las dos primeras décadas de vida, adquiriendo la enfermedad probablemente en esta época, aunque las manifestaciones clínicas hayan aparecido muchos años después. La mayoría de estos pacientes cuando procuran atención médica ya salieron del área endémica, residiendo en zonas urbanas donde ejercen otras actividades. El tabaquismo y el alcoholismo están frecuentemente asociados a la micosis.4

 

PRESENTACIÓN DEL CASO

Paciente de 63 años de edad, alcohólico, fumador hace más de 40 años, que vive en la zona rural de un municipio del interior de Sao Paulo, Brasil, trabajador en fábrica de producción industrial, con ingresos económicos bajos que es evaluado en consulta ambulatoria por quejarse de dolor en las pantorrillas hace más de un mes y tos seca de larga evolución, niega falta de aire ni fiebre.

Es solicitado radiografía de tórax y fue tratado con nimesulide 50 mg cada 12 horas, loratadina 10 mg por día, paracetamol 750 mg cada 6 horas y vitaminoterapia del complejo B.

A las tres semanas regresa el paciente y es recibido el rayo x de tórax con lesiones sugestivas de proceso inflamatorio intersticial (Figura 1) y refiere el paciente continúa con dolor en miembros inferiores, que ha ido aumentando y 6 días atrás apareció dolor en región lumbar y cervical. Tratado con levofloxacino 500 mg una dosis por día, Loratadina 10 mg diarios y Prednisona oral, todo por 10 días. Se realiza rayo x columna cervical y lumbar mostrando signos de espondiloartrosis.

El cuadro clínico no mejora y se decide interconsultar con Neumología y Neurocirugía sospechando enfermedad pulmonar obstructiva crónica y hernia discal a nivel cervical o lumbar.

Se mantiene tratamiento con Paracetamol 750 mg cada 6 horas si dolor y loratadina 10 mg por día. Los síntomas respiratorios mejoran y el dolor en la región cervical y lumbar persiste, al igual que el dolor en miembros inferiores, apareciendo pérdida de fuerza muscular en miembros inferiores 4,5

En examen neurológico minucioso se identifica hiperreflexia, clonus y signo de Hoffman positivo (liberación piramidal), además de presentar movimientos involuntarios en miembros superiores. Se realiza Eletroneuromiografía de miembros inferiores: latencias normales de nervios tibial y fibular.

Se solicita resonancia magnética encefálica. No regresa a consulta hasta que a los 20 días es evaluado nuevamente ambulatoriamente refiriendo inició nuevamente con tos, pero acompañada de falta de aire hacía una semana, manteniendo dolor en miembros inferiores y regiones lumbar y cervical. No fiebre.

Se reciben resultados de resonancia magnética del encéfalo, observándose múltiples focos con reducción de señal en T2, groseramente circulares, localizados en topografía del puente a la derecha, región temporal bilateral y región frontal, acompañado de discreto edema perilesional (linfoma o proceso inflamatorio).

Al examen físico se aprecia tiraje intercostal, con subcrepitantes y disminución de murmullo vesicular, es constatada pérdida de fuerza muscular en miembros superiores y empeoramiento el cuadro neurológico en miembros inferiores. Se remite el paciente y se decide internación. Es iniciado tratamiento con dexametasona 4 mg cada 6 horas y manitol 20 %.

Es solicitada tomografía de tórax urgente que evidencia múltiples áreas de consolidación alveolar en paréquima pulmonar bilateralmente, con predominio central y asociado a bronquiectasias y bronquioloectasias con focos de cavitación (tb/paracoccidioimicose).

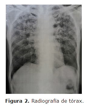
Se inicia tratamiento con trimetroprin-sulfametoxazol. Después de 8 días mejora el cuadro respiratorio y es egresado con trimetroprin-sulfametoxazol oral 480 mg 2 comprimidos cada 12 horas y dexametasona 4 mg cada 6 horas. Se toma muestra de suero para serología Blastomicosis-anticuerpos paracoccidioidomicosis con resultado no reactivo y se realiza otra radiografía de tórax (Figura 2).

Es solicitada broncoscopia (que es realizada un mes después) con toma de muestra para estudio (lavado bronquial) siendo los resultados para pesquisa microscópica de Bacilo Acido-Alcohol Resistente(BAAR) con coloración de Ziehl-Neelsen negativo, Micológico directo negativo y toma de biopsia transbrónquica negativo para células atípicas y es confirmado el diagnóstico de Paracoccidioimicosis. Se inicia tratamiento con Itraconazol 400 mg por día y continúa con Trimetroprin-Sulfametoxazol. Actualmente evoluciona satisfactoriamente con mejoría clínica evidente.

 

DISCUSIÓN DEL CASO

Paracoccidioidesbrasiliensis es un hongo dimórfico, agente etiológico de la paracoccidioidomicosis (antes conocida como blastomicosis suramericana), una micosis sistémica del continente americano, de curso agudo, subagudo o crónico, que se caracteriza por presentar lesiones pulmonares primarias casi siempre asintomáticas, de donde se disemina a mucosa orofaríngea, ganglios linfáticos, piel y diversos órganos de la economía.5

La enfermedad se adquiere por la inhalación del hongo; las microconidias alcanzan la vía aérea inferior, donde se forma un complejo primario y de allí se disemina a órganos extrapulmonares a través de vía linfohematógena.

La generación de la enfermedad depende del inóculo, patogenicidad, virulencia, estado inmune del paciente y posibles factores genéticos. Puede permanecer latente y originar una reactivación endógena produciendo la forma crónica en adultos; es endémica en el área subtropical de América Latina, principalmente en Brasil, donde aparecen el 80 % de casos.6

Las fuentes de infección están asociadas con áreas de bosques subtropicales con elevadas precipitaciones y temperatura ambiente entre 18 y 23 ºC con condiciones adecuadas de crecimiento. Es endémica en México, Guatemala, Brasil, Colombia, Venezuela, Argentina, Perú, Ecuador, Uruguay y Paraguay. Aislado de suelo (Venezuela, Argentina y Brasil), MF de murciélagos, vísceras de monos y de armadillo.7

Diversas clasificaciones de las formas clínicas de la Paracoccidioidomicosis fueron propuestas y publicadas desde la primera descripción de la enfermedad, se basaron en diferentes criterios: topografía de las lesiones, gravedad de la enfermedad, resultado de las pruebas serológicas, procedencia de zona endémica, etc. Con el objeto de tener una clasificación fácil de emplear, previo consenso se presentó en el Coloquio Internacional de la paracoccidoidomicosis realizado en Medellín en 1986, la siguiente clasificación:

  1. Paracoccidioidomicosis infección.
  2. Paracoccidioidomicosis enfermedad.
  3. Forma aguda/subaguda.
  4. Forma crónica.
  5. Unifocal.
  6. Multifocal.
  7. Paracoccidioidomicosis residual latente post-tratamiento.8

El diagnóstico etiológico de la micosis, se establece a través de: observación microscópica de levaduras con germinación múltiple al examen directo, estudio histopatológico y aislamiento del hongo en cultivos de exudados, biopsias, esputos, pus y otras muestras clínicas. Las pruebas inmunológicas que detectan anticuerpos son de gran valor en el diagnóstico presuntivo.9

Tratamiento

El tratamiento del enfermo debe indicarse de acuerdo a la modalidad clínica y a su estado inmunológico, eligiendo los fármacos que actúan más rápido, como la anfotericina B, en las formas progresivas y del sistema nervioso central, y las de acción más lenta, como los imidazoles, en las de larga evolución, combinándolas de acuerdo con la respuesta.10

Un total de 18 cepas de Coccidioides aisladas en Brasil fueron evaluados en un estudio donde las concentraciones inhibitorias mínimas se redujeron para anfotericina B, itraconazol, fluconazol y voriconazol. Por otra parte, se vio que el cotrimoxazol (trimetroprin-sulfametoxazol) sí inhibió cepas in vitro.11

Un gran ensayo aleatorizado encontró que el itraconazol y fluconazol tuvieron eficacias similares en el tratamiento de la coccidioidomicosis no meníngea progresiva. Agentes de investigación que tienen actividad frente a Coccidioides incluyen posaconazol, voriconazol, caspofungina y derivados de sordarina.12

En ausencia de tratamiento, la coccidioidomicosis diseminada produce la muerte con frecuencia. La mortalidad de los pacientes VIH-positivos supera el 70 % durante el mes siguiente al diagnóstico; no se sabe con certeza si el tratamiento cambia el pronóstico.13

El criterio para interrumpir el tratamiento antifúngico está basado en: 1) remisión clínica y radiológica, con cicatrización de las lesiones; 2) negativización de los exámenes micológicos en esputo o lavado broncoalveolar y 3) negativización o mantenimiento en títulos bajos de las pruebas serológicas.14

Al ser una enfermedad de difícil diagnóstico y poco conocida en nuestro país, se decide realizar este reporte de caso clínico para ayudar al desarrollo científico de los profesionales de la salud y para transmitir la experiencia vivida con un caso de Paracoccidioidomicosis.

 

REFERENCIAS BIBLIOGRÁFICAS

1. Soare MJ, Mendez Z, Benardi G. Paracoccidioimicosis. En: Ausina RV, Moreno GS, Alvar E J. Tratado de Enfermedades Infecciosas y Microbiologia Clinica. Buenos Aires: Medica Panamericana; 2006. p. 675.

2. Palmeiro M, Cherubini K, Yurgel LS. Paracoccidioidomicose - Revisão da Literatura. Scientia Med PUCRS [Internet]. 2005 [citado 20 Jun 2017];15(4):275-8. Disponible en: http://www.ufrgs.br/napead/repositorio/objetos/atlas-virtual-micologia/files/Link_Caso_14.pdf

3. Wanke B, Abidon Aidê M. Paracoccidioidomicose. J bras Pneumol [Internet]. 2009 [citado 5 Ago 2017];35(12):1245-1249. Disponible en: http://www.scielo.br/pdf/jbpneu/v35n12/en_v35n12a13.pdf

4. Shikanai-Yasuda M, Queiroz TF, Pôncio MR, Lopes CA, Moretti ML, Grupo de Consultores do Consenso en Paracoccidioidomicose. Rev Soc Bras Med Trop [Internet]. 2006 [citado 20 Jun 2017];39(3):297-8. Disponible: http://www.scielo.br/pdf/rsbmt/v39n3/a17v39n3

5. Fernández Andreu CM. Coccidioides immitis, paracoccidioides brasiliensis, Blastomyces dermatitidis. En: Llop Hernández A, Valdés Dapena Vivanco MM, Zuazo Silva JL. Microbiología y Parasitología Médicas. T.1. La Habana: Editorial Ciencias Médicas;2001.

6. Arciniegas Quiroga W, Orjuela Zuluaga DL. Paracoccidioidomicosis crónica. Reporte de un caso. Inv Andina [Internet]. 2011 [citado 31 Mar 2017];13(22):228-235. Disponible en: http://www.redalyc.org/articulo.oa?id=239019304010

7. Tafur Hoyos BA. Paracoccidioidomicosis. Slide Share [Internet]. 2013 [citado 23 Feb 2017]. Disponible en: https://es.slideshare.net/BrendaAuroraTafurHoyos/paracoccidioidomicosis 16726340

8. Jorge Vargas J, Vargas R. Paracoccidioidomicosis. Rev Enferm Infec Trop. 2009;1(1):49-56.

9. Olivero R, Domínguez A, Sánchez C, Di-Liberti D. Diagnóstico de paracoccidioidomicosis en el laboratorio de micología de la Universidad de Carabobo durante 14 años (1992-2005). Rev Soc Ven Microbiol [Internet]. 2007 [citado 31 Mar 2017]; 27(1):349363. Disponible en: http://www.scielo.org.ve/scielo.php?script=sci_arttext&pid=S1315-25562007000100006&lng=es

10.Pauda GA, Martínez OV, Velasco RV, Calva MJJ, Cicero RC. Tratamiento de la coccidioidomicosis pulmonar y pleural. Experiencia con seis casos en Torreón Coahuila. Enf Infec Microbiol [Internet]. 1999 [citado 20 Jun 2017];19(30):133-8. Disponible en: http://www.medigraphic.com/pdfs/micro/ei-1999/ei993d.pdf

11.Cordeiro de Aguiar R de , Astete-Medrano DJ, Farias Marques FJ de, Tavares Leite A, Perdigão Neto LV, Lira Tavares J, et al. Cotrimoxazole enhances the in vitro susceptibility of Coccidioides posadasii to antifungals. Mem Inst Oswaldo Cruz. 2011 [citado 20 Jun 2017];106(8):1045. Disponible en: http://dx.doi.org/10.1590/S0074-02762011000800024

12.Deresinski SC. Coccidioidomycosis: efficacy of new agents and future prospects. Curr Opin Infect Dis. 2001;14(6):693-696. Pubmed PMID: 11964886.

13.Porter R, Kaplan J. Enfermedades nicóticas sistémicas. En: Manual Merck [Internet]. Madrid: Editorial Panamericana; 2016 [citado 31 Mar 2017]. Disponible en: http://manualmerck.tripod.com/MMCap158.htm

14.Deus Filho A de. Coccidioidomicose. J Bras Pneumol [Internet]. 2009[citado 31 Mar 2017];35(9):920-930. Disponible en: http://dx.doi.org/10.1590/S1806-37132009000900014

 

 

Recibido: 2 de marzo de 2017

Aprobado: 18 de mayo de 2017

 

 

Dr. Yoni Arcides Rodríguez Llanes. Especialista en de I Grado en Medicina General Integral. Máster en Urgencias Médicas. Asistente. Hospital General Docente "Dr. Agostinho Neto". Email:yarllcuba@yahoo.es